Expert Teeth Whitening Cornwall – for just £360
Our professional premium Teeth Whitening package is designed to give you the very best whitening results in as little as 90 minutes per day over approximate 3 weeks in the convenience of your own home. You will receive a FREE complimentary Pre-Whitening Polish during your teeth whitening Cornwall appointment with us to ensure you have the best start to your teeth whitening journey. Optional Upgrade to a full mouth clean available upon request.
Home Teeth Whitening Kits Trusted and Prescribed by Dental professionals in Cornwall
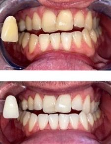
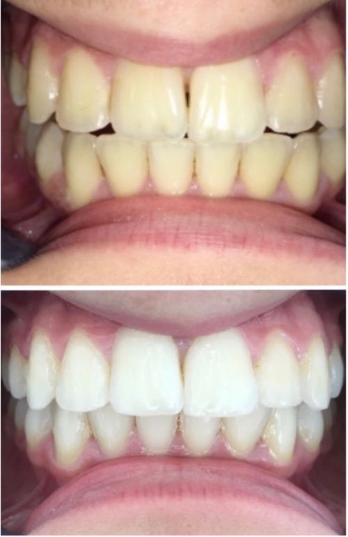
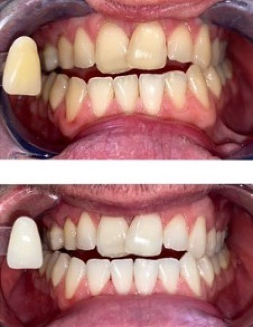
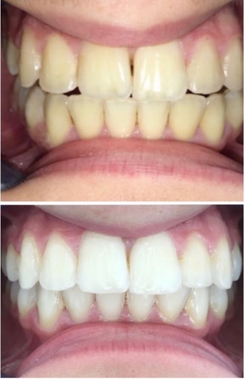
This treatment from just £360 is perfect for anyone looking to whiten their teeth professionally using the very best product on the market. Our high quality teeth whitening formula is safe, convenient and can be used anytime that suits your lifestyle. This treatment will ultimately enhance the shade of your teeth providing you with whiter, brighter results and more confident smile.
Each whitening appointment with our dental hygienists begins with a discussion on our cosmetic teeth whitening options. They will ensure that you have a good standard of oral health before commencing your teeth whitening process meeting your expectations.
Our streamlined Teeth Whitening appointment involves:
- A pre-whitening suitability assessment by our GDC registered dentist
- FREE Pre-Whitening polish removing light stains where needed to ensure the very best results
- Pre-whitening photo and shade
- Impressions taken to make your custom teeth whitening trays
- Instructions on how to use the teeth whitening kit
- Full set of 6% hydrogen peroxide whitening syringes containing a desensitiser to minimise sensitivity
- Complimentary sensitive toothpastes to use alongside your treatment

Home Teeth Whitening Kits
Your teeth impressions will be sent to our partnered dental lab who will create your custom teeth whitening trays. This will take approximately 10 working days or can opt for an express service for an extra £20 upon request.
Once you have collected your mouth trays you can start your teeth whitening program with our complete teeth whitening homekit which will take approximately 3 weeks.
Extra whitening gel syringes are available at an extra cost should you wish to whiten your teeth for longer to get your desired result.
Patient whitening results can vary depending on the severity of the original teeth shade and will not be effective on crowns, fillings, implants and veneers. We can provide more advice or information before booking, helping to answer any queries.


*Unfortunately this treatment is not suitable for anyone under the age of 18, pregnant / breast feeding women and those with broken teeth, decay or poor dental health.