Teeth Scale & Polish Treatments near me in Cornwall
Express Scale & Polish - £80
Approximate 20 min hygiene appointment - Providing an express routine teeth clean for anyone wanting to maintain a regular optimum oral health level.
*Only available for registered patients who attend every 3-4 months.
Our treatment is a quick effective hygiene clean scale and polishing perfect for patients who are wanting to remove light teeth surface stains, plaque and tartar build-up. This also helps to maintain fresh breath, optimise oral health and brighten smile.
Anyone who visits our hygienist regularly every 3-4 months will often find this teeth clean suitable for maintaining their oral health needs.


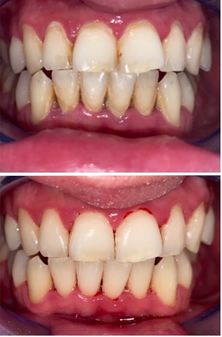
Classic Scale & Polish - £90
Approximate 30 min hygiene appointment - Enabling more clinical time to remove more moderate level of plaque, tartar and teeth stain build up.
The Classic Scale & Polish is an amazing detailed hygiene clean for patients wishing to remove more stains, plaque and tartar build-up on the surface of their teeth. It leaves teeth feeling silky smooth and looking fabulous.
This clean is also fantastic for patients suffering with gum inflammation or who is looking for a more thorough clean than the Express clean.


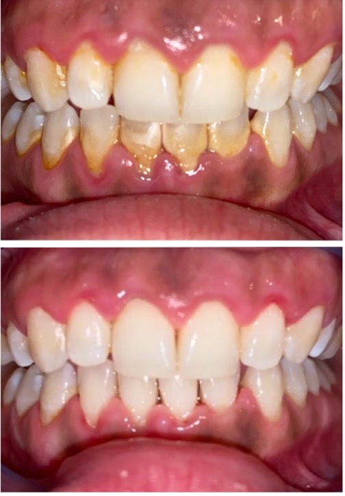
Ultraclean with EMS Airflow - £110
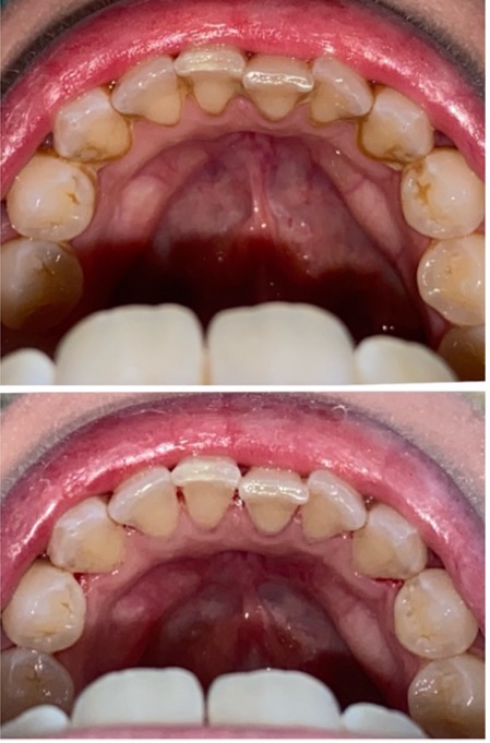
Approximate 40 min hygiene appointment - The ultimate ‘GOLD’ standard scale & polish using the state of the art EMS Airflow system. Recommended for anyone with gum disease, implants, veneers, sensitivity and staining.
Ultraclean with EMS Airflow is our most advanced teeth clean utilising the latest dental technology. It is well suited for patients looking to brighten their teeth naturally by removing all ingrained stains, benefitting their oral health and helping to keep stain at bay for longer. It's our most popular choice of cleans as patients often find this clean to be a great instant and natural method of brightening their teeth to the alternative cosmetic teeth whitening.
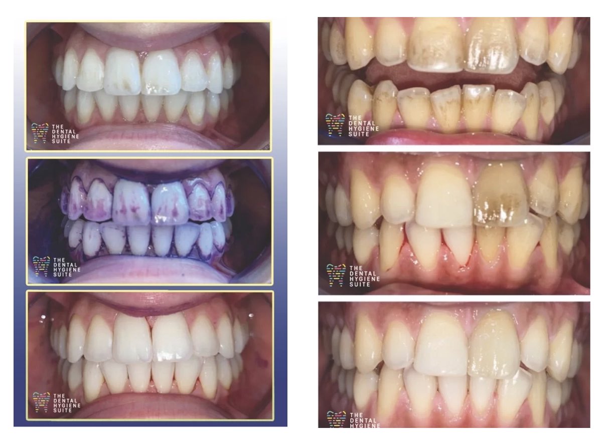
EMS Airflow Guided Biofilm Therapy
The revolutionary EMS Airflow GBT or Guided Biofilm Therapy is extremely gentle on teeth, gums and is safe to be used when cleaning around veneers, crowns, implants, composite veneers, bridges and fillings. It is fantastic for cleaning periodontal pockets and allowing the antibacterial properties within the salt to work below the gumline. The intelligent machine technology combines warm water with a unique blend of fine formulated salt powder which gently washes away the biofilm (known as plaque) on the tooth surface leaving the teeth feeling 'squeaky' clean and mouth refreshed. A perfect option for anyone who suffers with teeth sensitivity and would prefer a different method to the traditional scale & polish treatments.

At the start of the appointment we will use a disclosing agent to dye the biofilm (plaque) on your teeth we will then show you in the mirror where the highlighted areas are which helps you to improve your toothbrushing technique.
We will then eliminate all biofilm (plaque) and stain from all surfaces of your teeth using this guided biofilm therapy technique.
Step 1- Disclosing teeth
Step 2 – Airflow- plaque and stain removal
Step 3- Ultrasonic scaler for hard tartar deposits
Followed by a tailored oral hygiene regime